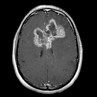
опухоль бабочка головного мозга
Смертельная «бабочка» глиобластомы попалась в сети лазера
Группа американских исследователей из медицинского центра Университетских больниц Кливленда, а также медицинского факультета и Центра всесторонних исследований рака (Comprehensive Cancer Center) Университета Кейс Вестерн Резерв обнаружила, что применение лазера приносит хорошие результаты при удалении «неоперабельных» глиобластом и других опухолей мозга. Результаты их работы опубликованы в октябрьском номере журнала Neurosurgical Focus.
Эту проблему необходимо было срочно решать, так как ЛИТТ впервые давала надежду пациентам с большими и/или сложными опухолями, например, глиомой в виде бабочки. В процессе попыток избавиться от отёка обнаружилось, что «сваренная» опухоль не плотная, а мягкая и рыхлая. Поскольку снабжающие ее сосуды тоже «запекаются» под действием лазера, такую опухоль можно относительно безопасно аспирировать с помощью специального отсоса через то самое крошечное отверстие в черепе. В публикации рассматриваются результаты лечения 10 пациентов с труднодоступными злокачественными опухолями мозга средним объемом 38 см3. У восьми была глиобластома, в том числе в форме бабочки, один пациент с глиобластомой уже прошел курс терапии, а у одного был метастаз меланомы в мозге.
Глиобластома – агрессивная опухоль, и прогноз при ней обычно довольно плохой. Чуть меньше, чем через год после проведения операции в живых осталось 6 пациентов из 10. Медианная продолжительность жизни после операции составила 482 дня, жизни без прогрессирования заболевания – 280 дней. Сопоставимые результаты были получены и при применении ЛИТТ для удаления опухолей меньшего объема с меньшим риском, так что испытания можно считать успешными, а ЛИТТ – реальным и применимым способом спасти жизнь хотя бы половины пациентов со смертельной опухолью мозга.
Обзор онкологических заболеваний глиомы или астроцитомы
Вам поставили диагноз: глиома или астроцитома?
Наверняка Вы задаётесь вопросом: что же теперь делать?
Подобный диагноз всегда делит жизнь на «до» и «после». Все эмоциональные ресурсы пациента и его родных брошены на переживания и страх. Но именно в этот момент необходимо изменить вектор «за что» на вектор «что можно сделать».
Предлагаем Вашему вниманию краткий, но подробный обзор опухолей головного мозга.
Ежегодно в России выявляют более 8 тысяч новых заболеваний опухолей мозговой оболочки, головного и спинного мозга и других частей центральной нервной системы. Почти такое же количество граждан умирает от данных локализаций.
Филиалы и отделения, где лечат глиому или астроцитому
МНИОИ им. П.А. Герцена – филиал ФГБУ «НМИЦ радиологии» Минздрава России.
Отделение нейроонкологии
Заведующий – к.м.н. ЗАЙЦЕВ Антон Михайлович
МРНЦ им. А.Ф. Цыба – филиал ФГБУ «НМИЦ радиологии» Минздрава России.
Отделение протонной и фотонной терапии
Заведующий – д.м.н. ГУЛИДОВ Игорь Александрович
Тел: 8 (484) 399 31 30
Глиомы и астроцитомы
Понятие «опухоли нейроэпителиальной ткани» включает в себя различные по происхождению (глиомы, нейроцитомы и др.,), степени злокачественности, прогнозу новообразования, исходящие из клеток, составляющих собственно мозговое вещество. Большая часть этих новообразований специфична для нервной системы и не встречается в других органах; с другой стороны, сама локализация, патоморфологические характеристики этих опухолей в головном мозге определяет особенности их клинических проявлений, инструментальной диагностики, морфологической классификации, и походы к лечению. Наиболее распространенными опухолями нейроэпителиальной ткани являются глиомы различной степени злокачественности, которые представляют 32% всех нейроэпителиальных новообразований.
Основной метод лечения опухолей нейроэпителиальной ткани хирургический. Он позволяет компенсировать состояние больного, устранить угрозу для жизни при наличии признаков внутричерепной гипертензии, получить сведения о патоморфологии опухоли. Объем удаления опухоли и гистология играет большую роль в прогнозе пациента и определяет тактику дальнейшего лечения. Однако, в большинстве случаев возможности хирургического метода при нейроэпителиальных опухолях в связи с характером их роста и локализацией ограничены; радикальная их резекция невозможна.
Лучевая терапия применяется в основном в качестве дополнительного (адъювантного) метода лечения, проводимого с целью предотвращения рецидива или продолженного роста опухоли после нерадикального оперативного лечения, позволяя увеличить общую продолжительность жизни больных. Лучевые методы лечения характеризуются малой инвазивностью и хорошей переносимостью больными, однако в случаях с диффузно-растущими опухолями, не имеющими четких контуров, как в большинстве глиом, возникают трудности в определении объема и дозы облучения. Более того злокачественные глиомы характеризуются высокой частотой рецидивов,- не менее 60-80% после стандартного курса лучевого лечения, а повторное конвенциональное облучение, как правило ограничено в плане толерантности нервной ткани, применяемых дозовых диапазонов облучения и сроков проведения.
Для снижения числа рецидивов и улучшения результатов комбинированного лечения больных при ряде определенных гистологических типов опухолей активно применяется химиотерапия, как в моно режимах, так и в комбинации. Сочетание лучевой и химиотерапии значительно улучшило результаты лечения больных злокачественными глиомами, однако, лечение рецидивов по-прежнему остается трудной задачей нейроонкологии.
Не инвазивная диагностика глиальных опухолей
Не смотря на совершенствование методов лучевой диагностики окончательное суждение о степени злокачественности и типе опухоли возможно только лишь на основании биопсии и патоморфологического исследования опухоли.
Глиомы низкой степени злокачественности (GRADE I-II)
Золотым стандартом в лечении глиом НСЗ является хирургический метод, позволяющий в большинстве случаев радикально удалить опухоль.
Лучевая терапия, как самостоятельным метод лечения, применяется у пациентов с небольшими, труднодоступными для удаления ПА, опухолями зрительных путей, остаточными опухолями после нерадикального удаления, а также, при лечении рецидивов ПА.
Для пилоидных астроцитом лучевая терапия является методом выбора при небольших остатках опухоли после неполного удаления или рецидиве.
Глиомы низкой степени злокачественности (НСЗ) Grade II: плеоморфная ксантоастроцитома, диффузная астроцитома и пиломиксоидная астроцитома, олигодендроглиома, олигоастроцитома – являются морфологически, клинически и диагностически гетерогенной группой опухолей. Патоморфологические особенности данной группы опухолей существенно влияют на терапевтические подходы и определяют прогноз и течение заболевания.
Среди методов лечения глиом низкой степени злокачественности (Grade II) рассматриваются следующие: тотальное и субтотальное удаление опухоли, лучевая терапия в суммарной очаговой дозе 50-56 Гр и химиотерапия, которая чаще назначается при олигодендроглиоме и олигоастроцитоме.
Стандартом является максимально безопасное удаление опухоли (если оно возможно). При асимптомных опухолях у больных не старше 40 лет возможно динамическое наблюдение без оперативного вмешательства.
Проведение лучевой терапии в послеоперационном периоде или в самостоятельном варианте, при глиомах ствола мозга улучшает результаты лечения больных глиомами Grade II.
Глиомы высокой степени злокачественности (GRADE III-IV)
Существует два пика заболеваемости злокачественными глиальными опухолями головного мозга, первый между 0 и 4 годами. В это время опухоли ЦНС занимают второе место среди злокачественных новообразований детского возраста, составляя среди них 14-20% и уступая только лимфомам и лейкозам. Второй пик заболеваемости находится между 35 и 75 годами. В этом периоде злокачественные глиомы головного мозга – третья, наиболее частая причина смерти от онкологических заболеваний у мужчин и четвертая по частоте у женщин в экономически развитых странах.
Современные принципы лечения злокачественных глиом головного мозга предполагают, прежде всего, хирургическое удаление опухоли с последующей адъювантной терапией. Хирургия является одним из основных методов лечения данной категории пациентов так как, прежде всего, способствует определению морфологического диагноза и устраняет неблагоприятные симптомы заболевания.
Несмотря на совершенствование хирургического оборудования отдаленные результаты только оперативного лечения больных злокачественными глиомами головного мозга на сегодняшний день остаются неутешительными, в связи с высокой частотой локальных и отдаленных рецидивов, которые наблюдаются в 70-80% случаев.
Проведение в послеоперационном периоде лучевой и/или химиолучевой терапии у больных ГВСЗ, позволяет улучшить результаты лечения, снижая частоту рецидивов, улучшая качество жизни и увеличивая продолжительность жизни на сроки более 5 лет.
Хирургическое удаление опухоли с последующей дистанционной лучевой и/или химиолучевой терапией являются стандартом лечения больных глиобластомой, и анапластической астроцитомой.
Филиалы и отделения, в которых лечат опухоли головного и спинного мозга, а также отделы центральной нервной системы
ФГБУ «НМИЦ радиологии» Минздрава России обладает всеми необходимыми технологиями лучевого, химиотерапевтического и хирургического лечения, включая расширенные и комбинированные операции. Все это позволяет выполнить необходимые этапы лечения в рамках одного Центра, что исключительно удобно для пациентов.
Опухоль мозга

Внутричерепные новообразования доброкачественного или злокачественного характера называют опухолью головного мозга. Они могут поражать не только ткани, но и нервы, сосуды, оболочки, эндокринные структуры. В зависимости от места поражения проявляется различная симптоматика. Для правильной постановки диагноза необходимо пройти осмотр у невролога и офтальмолога, а также сдать ряд анализов, в том числе МРТ головного мозга и МР-ангиографию. Для лечения чаще используется хирургическое вмешательство, которое дополняют облучением или радиотерапией.
Стадии
В нашей стране за последний год выявили более 34 тысяч случаев новообразований в головном мозге. Причём болезнь «молодеет». Всё чаще патологию диагностируют у молодых людей, мужчин и женщин, не достигших критерия «среднего возраста». Часто опухоли головного мозга развиваются у беременных женщин на больших сроках вынашивания ребёнка. В таком случае крайне сложно провести качественное лечение. Кроме того, новообразование очень быстро растёт.
Причина тому в симптоматике. Когда человек жалуется на усталость, депрессию и потерю концентрации внимания, ему советуют отдохнуть вместо того, чтобы посоветовать сделать МРТ.
В зависимости от характера опухоли варьируется и скорость развития болезни. Доброкачественные новообразования развиваются медленнее, но чаще практически бессимптомно на ранних стадиях. Злокачественные более агрессивны и развиваются быстрее.
Для доброкачественных выделяют несколько стадий развития:
На последней стадии сама по себе опухоль не приводит к проявлению серьёзных симптомов, однако сдавливание органов и тканей способно привести к судорогам, потерям ориентации, задержкам речи и другим очевидным симптомам.
На последней стадии развития доктор легко диагностирует рак головного мозга, даже не применяя специального оборудования.
Злокачественные новообразования характеризуются быстрым делением и нарастанием опухоли с возможными метастазами в различные, даже самые отдалённые органы. Иммунная система не успевает распознать «врага», в результате чего болезнь захватывает новые органы и ткани, становится неоперабельной и плохо поддаётся лечению. Зачастую это происходит в короткие сроки.
Различают несколько видов доброкачественных патологий:
Видов злокачественных опухолей меньше. Они сводятся к трём самым распространённым типам: глиомам, саркомам и тератомам. Саркома образуется из соединительной ткани, характеризуется стремительным ростом и частыми рецидивами. Тератомы образуются из гоноцитов, а глиомы характеризуется нейроэктодермальным происхождением.
Консультация врача и ряд анализов помогут определить, какого типа опухоль расположилась в головном мозге и её опасность для всего организма в целом. Хотя внутричерепное пространство настолько уязвимо и обладает многочисленными сосудами, нервными окончаниями и другими органами, что даже доброкачественная опухоль будет достаточно опасной для здоровья пациента.
Симптомы болезни
На ранних стадиях определить опухоль головного мозга практически невозможно. Дело в том, что основная симптоматика сильно схожа с другими патологиями, что затрудняет диагностические мероприятия.
Чаще всего наблюдаются:
Такие симптомы редко принимают всерьёз, а тем временем вылечить опухоль в голове гораздо легче именно на ранних стадиях заболевания. На заболевание будут указывать все перечисленные симптомы, если они присутствуют одновременно у пациента. На второй стадии, когда происходит разрастание опухоли и возбуждаются мозговые оболочки, появляются общемозговые изменения. К ним относят:
На этой стадии опухоли мозга лечение ещё может быть эффективно. Однако терапевтические процедуры проходят сложнее и длительнее, чем на ранних стадиях патологии. При этом риск рецидива увеличивается в разы.
Симптоматика второй стадии опухоли головного мозга схожа с несколькими болезнями – эпилепсией, гипотонией или нейропатией. Поэтому не стоит впадать в панику и заранее ставить себе страшные диагнозы. Необходимо посетить профильного врача и пройти соответствующие обследования. Любой из перечисленных состояний требует контроля доктора и своевременного лечения.
Важно!
Если вы заподозрили что-то неладное, немедленно обратитесь к врачу. При подтверждении диагноза вам будет назначен курс химиотерапии. Рекомендуется проходить курс в проверенных клиниках. Они проводят качественную диагностику, а также используют новейшие технологии лечения.
Признаки опухоли мозга
Признаки опухоли мозга могут указать на то или иное новообразование, в зависимости от места его локализации и размеров. Их можно определить на ранних стадиях, если тщательно заботиться о своём здоровье. Чаще наблюдаются:
Проблемы со зрением указывают на опухоль в затылочной части мозга, а судороги и онемение – в лобных долях. Для определения места расположения новообразования и проведения быстрой, качественной терапии, требуется посетить врача и сдать необходимые анализы. Также проводятся инструментальные исследования и осмотры на аппаратах, чтобы тщательно диагностировать болезнь.
Диагностика заболевания
При появлении первичных симптомов или признаков опухоли мозга, человеку требуется незамедлительно попасть на приём к неврологу и офтальмологу. Для сбора анамнеза проводятся исследования ЭхоКГ, ЭЭГ, а также проверку очаговой симптоматики.
Опухоль мозга, симптомы которой часто ориентированы на зрение человека, требует консультации специалиста. Офтальмолог проверяет остроту зрения, проводя стандартные осмотры. Также определяет поля зрения и проводит процедуру офтальмоскопии. Это важно для понимания размеров и влияния опухоли на органы зрения и другие важные функции организма.
При необходимости дополнительно назначается консультация узкого специалиста отоневролога.
Если врач подозревает объёмное новообразование, придётся пройти процедуру КТ или МРТ головного мозга. Сделать это можно в клинике medart.by. Такие исследования помогают визуализировать опухоль и определить её границы, чёткое расположение и влияние на другие органы и системы.
Кроме стандартных процедур, доктор может назначить ряд специальных исследований, которые помогают определить злокачественность новообразования, анализировать метаболические отклонения, разграничить многоочаговые опухоли. Иногда приходится делать биопсию новообразования, которая даст точные данные о характере опухоли.
Среди главных анализов выделяют:
Анализы и диагностические исследования назначает исключительно доктор после сбора анамнеза. Самостоятельное прохождение указанных процедур без оснований и предварительной консультации недопустимы. Человек может самостоятельно пойти к врачу, если считает, что его симптомы схожи с признаками рака головного мозга, но посетить МРТ, УЗИ или другие кабинеты функциональной диагностики можно только по направлению от доктора.
Диагностику требуется проводить в случае, когда в семье у родственников уже были онкологические заболевания, а также у пациента присутствуют все признаки рака мозга ранней стадии. Неплохо проходить регулярные обследования людям, пережившим черепно-мозговую травму или инсульт.
Прогнозы
Рак головного мозга отличается осторожностью прогнозов врачами. Положительный исход зависит от характера новообразования, места его локализации, размеров и способности провоцировать распространение метастазов.
Легче всего вылечить небольшие опухоли в доступном для хирургического вмешательства месте, доброкачественного характера и не метастазирующие в другие органы. Обычно одного курса облучения или химиотерапии достаточно, чтобы избавить человека от патологии.
Однако большинство доброкачественных опухолей имеют свойство рецидивировать. В таком случае потребуется повторное оперативное вмешательство, что чревато серьёзными нарушениями нервной системы.
Злокачественные опухоли быстро развиваются и способствуют распространения метастазов. Как правило, место локализации неудобно для хирургического вмешательства. Удаление опухоли мозга нецелесообразно или даже опасно. В таком случае прогноз в большинстве случаев неблагоприятный.
Большое значение имеет возраст и общее состояние здоровья пациента. У пожилых граждан с тяжёлыми сопутствующими патологиями удаление новообразования путём оперативного вмешательства недоступно.
Лечение
Выбор метода терапии напрямую зависит от характера заболевания, локализации опухоли, её размера и типа. Учитывается также возраст и общее состояние пациента. К основным методам лечения относят:
Для регулирования состояния пациента проводят постоянный контроль с помощью МРТ. Если опухоль не уменьшается или продолжает расти, выбранный способ терапии не эффективен. Также регулярные исследования проводятся после победой над раком головного мозга, чтобы исключить рецидив патологии.
После пройденного лечения и победы над раком мозга потребуется реабилитация. Чаще всего новообразование затрагивает важные функции, которые придётся восстанавливать после качественной терапии.
Обычно реабилитация включает ряд важных мероприятий. К примеру, занятия с логопедом для восстановления нормальной речи, индивидуальные занятия с репетитором, лечебная физкультура и трудотерапия. Также рекомендуется применять соответствующие препараты, чтобы снизить выраженность симптомов и повысить эффект от лечения, а также устранить побочные эффекты.
Профилактика
Профилактические меры по избавлению от рака головного мозга включают в себя ряд мероприятий, которые направлены на исключение рецидива или разрастания новообразований в головном мозге.
В первую очередь требуется исключить онкогенные воздействия и травмы головы. Они способны спровоцировать развитие опухолей или вызвать рецидив уже вылеченных патологий. Пациенту рекомендуется чаще бывать на свежем воздухе, выбрать место жительства подальше от промышленных заводов и других опасных для здоровья объектов.
Обязательно проверять своё здоровье регулярно, чтобы при необходимости выявить раковую опухоль на ранней стадии рака мозга. Также рекомендуется исключить приём биогенных препаратов, которые могут спровоцировать рост новообразования в головном мозге.
Рак головного мозга – опасная патология, чаще всего характеризующаяся неблагоприятными прогнозами, так как любое оперативное вмешательство в области мозга может спровоцировать серьёзные изменения сознания и функции организма. Гораздо проще и эффективнее вылечить опухоль мозга на ранних стадиях развития. Однако диагностировать болезнь в этот период крайне слонжно.
Глиобластома головного мозга
Глиобластома головного мозга – злокачественное образование, отличающееся агрессивным развитием. Редкая патология, среди онкологических больных диагностируется 1 раз на 1000 случаев. Свое начало опухоль берет в клетках головного мозга, которые называются глии. На фоне нарушения их деятельности начинается активное деление клеток, в том числе и в рядом расположенных – именно так развивается злокачественный процесс. Чаще всего глиобластома локализуется в височной и лобной частях головного мозга, но иногда диагностируется в мозжечке, спинном мозге и стволе головного мозга.
Различают 3 вида злокачественной опухоли:
Также классифицируется глиобластома на первичную и вторичную. В первом случае речь идет о стремительно развивающейся опухоли (максимум за 3 месяца до критического состояния), чаще диагностируется у мужчин старшего возраста. Вторичная глиобластома формируется из доброкачественных опухолей, чаще выявляется у женщин среднего, старшего возрастов.
Конкретных причин развития злокачественного процесса в клетках головного мозга нет, но врачи выделяют несколько провоцирующих факторов:
Симптомы, признаки глиобластомы головного мозга
Симптомы глиобластомы проявляются рано, поэтому диагностировать ее на ранней стадии не представляет трудностей. Врачи выделяют несколько первичных признаков заболевания:
По мере роста глиобластома начинает оказывать давление на определенные участки головного мозга и клиническая картина становится более расширенной. Добавляются специфические симптомы:
Сначала симптомы глиобластомы появляются периодически, больной отмечает повышенную сонливость, быструю утомляемость, понижение работоспособности. Затем признаки глиобластомы беспокоят в постоянном режиме, что означает активный рост образования.
Онкология головного мозга (глиобластома): методы диагностики
Важно выявить проблему на ранней стадии развития, тогда шансы на выздоровления повышаются в разы. Как только появляются первичные симптомы глиобластомы, стоит обратиться за помощью к специалистам для прохождения полноценного обследования. При подозрении на глиобластому врачи назначают КТ головного мозга – это современный метод лучевой диагностики. Врач сможет оценить состояние кровотока даже в самых мелких кровеносных сосудах головного мозга. Выполняется с применением контрастного вещества, которое вводится в периферическую вену.
КТ головного мозга является информативным методом диагностирования глиобластомы, потому что эта процедура:
При подозрении на опухоль головного мозга, врачи используют при обследовании пациента и другие диагностические процедуры:
Все вышеперечисленные диагностические мероприятия проводятся при выраженной клинической картине.
Лечение глиобластомы головного мозга
Если глиобластома головного мозга диагностирована на 4 стадии развития, то лечение будет нецелесообразным. Врачи назначают поддерживающую терапию, чтобы облегчить симптомы при глиобластоме и на некоторое время продлить жизнь больного. Но на остальных 3 стадиях лечение может дать отличные результаты. Чаще всего назначают:
Хирургическое вмешательство показано и на 3 стадии заболевания, но выполняется оно в качестве паллиативного лечения. Врач осуществляет шунтирование, что позволяет стабилизировать внутричерепное давление и сохранить функциональность головного мозга.
Иногда глиобластома локализуется в труднодоступных местах головного мозга и тогда врачи могут отказаться от проведения хирургического вмешательства.
Инновационный метод лечения в рамках клинического исследования.
Команда врачей НМИЦ радиологии во главе с А.Д. Каприным в составе 20 человек (нейрохирурги, анестезиологи, реаниматологи, кардиохирурги, перфузиологи сразу пяти научных медицинских институтов) провели первую в мире процедуру изолированной перфузии головного мозга пациентке с диагнозом «глиобластома». За счет особого строения и структуры тканей головного мозга опухоли данной локализации, к которым в том числе относят глиобластомы, крайне сложно поддаются лечению. Суть инновационного метода заключается в том, что во время медицинской манипуляции головной мозг кровоснабжается отдельно от тела с помощью аппарата искусственного кровообращения. На этом этапе к органу доставляются концентрированные дозы химиопрепарата, губительные для опухоли, но безопасные для самого органа. После того, как токсичность снижается, орган вновь подключается к общей системе кровообращения.
Прогнозы заболевания
Болезнь имеет крайне неблагоприятные прогнозы, хотя многое зависит от классификации глиобластомы головного мозга. Если врачами была проведена операция по удалению опухоли, то выживаемость составляет максимум 5 лет, но чаще 1-2 года. Если лечение будет полностью отсутствовать, то продолжительность жизни пациента сокращается до 3 месяцев.
Полное выздоровление возможно, если глиобластома была диагностирована на 1 и 2 стадии развития. Но это зависит от того, полностью или частично была удалена опухоль, были ли повреждены здоровые ткани головного мозга.
Глиобластома – агрессивная болезнь, которая может поражать разные части головного мозга. Но отчаиваться не стоит! Во-первых, симптомы новообразования специфичны, во-вторых, ранняя стадия отлично лечится путем операции и дальнейшей терапии. Нужно лишь вовремя обратиться для обследования в клинику – врачи воспользуются современными методами диагностики и смогут сохранить жизнь пациенту.
Филиалы и отделения, в которых лечат глиобластому головного мозга
МНИОИ им. П.А. Герцена – филиал ФГБУ «НМИЦ радиологии» Минздрава России.
Отделение нейроонкологии
Заведующий – к.м.н. ЗАЙЦЕВ Антон Михайлович
МРНЦ им. А.Ф. Цыба – филиал ФГБУ «НМИЦ радиологии» Минздрава России.







